Médecin dentiste à Sfax

Dr Khadija Dammak Ellouze médecin dentiste à Sfax, intervient dans son cabinet dentaire pour améliorer et restaurer la santé bucco-dentaire.
Actes et soins dentaires:
- Chirurgie dentaire et implantologie.
- Extraction des dents de sagesse.
- Traitement des caries et restauration par composite.
- Détartrage des dents.
- Gingivectomie et traitement des gencives.
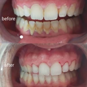
- Dentisterie esthétique & Hollywood Smile.
- Invisalign et alignement des dents par gouttières transparentes.
- Blanchiment dentaire et micro-abrasion.
- Prothèse dentaire amovible et prothèse totale.
- Couronne et Facette dentaire esthétique.
- Bridge en zircone ou en céramique.
- Strass et bijou dentaire.
- Pédodontie.
Rejoignez le cabinet dentaire à Sfax et découvrez toutes les solutions de traitement pour soigner vos pathologies dentaires.
Informations:
 Adresse: Route El Ain km 2, immeuble Nour El Houda, près de clinique El Alya, Sfax, Tunisie.
Adresse: Route El Ain km 2, immeuble Nour El Houda, près de clinique El Alya, Sfax, Tunisie.
 Tél: +216 74 463 938 / +216 24 243 632
Tél: +216 74 463 938 / +216 24 243 632
 E-mail: Khadija.dammak@hotmail.fr
E-mail: Khadija.dammak@hotmail.fr





 
		 
		 
		 
		 
		 
		