Médecin dentiste à Ariana

Dr Asma NAKHLI médecin dentiste à Ariana Ville, spécialiste en prothèse fixé et esthétique dentaire, ancienne résidente à la clinique dentaire hospitalo-universitaire de Monastir.
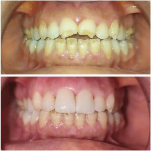
Domaines de soins du dentiste:
- Soins dentaire et implantologie.
- Dentisterie esthétique.
- Hollywood Smile.
- Éclaircissement et blanchiment dentaire.
- Couronne et bridge dentaire.
- Facette et prothèse dentaire fixe et amovible.
- Invisalign et alignement des dents.
- Traitement du sourire gingivale.
- Réhabilitation prothétique.
- Détartrage dentaire et surfaçage radiculaire.
- Soins de caries.
- Reconstitution des dents à la résine composite.
- Extraction des dents de sagesse.
Pour corriger votre dentition et pour des soins en esthétique dentaire à Ariana, N’hésitez pas à contactez le spécialiste en médecine dentaire Dr Asma NAKHLI.
Informations:
Adresse: 78 Av Habib Bourguiba, El Wardy Medical Center, 3ème étage, Ariana Ville, Tunisie.
Tél: +216 23 610 180
E-mail: nakhliasma@gmail.com




