
Dr Ameni Ben Mariem dentiste à Ksour Essef spécialiste en chirurgie et soins dentaires.
Domaines de soins:
- Traitements chirurgicaux oraux y compris l’extraction simple des dents, l’extraction chirurgicale des dents de sagesse enclavées et incluses, et la gingivectomie…
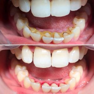
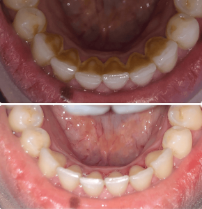
- Détartrage dentaire pour contribuez à prévenir les maladies des gencives et à garder les dents saines et propres.
- Blanchiment et éclaircissement des dents.
- Pose des facettes dentaire en composite ou céramique.
- Traitement des caries et des gingivites.
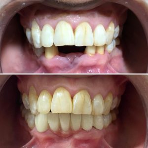
- Bridge dentaire.
- Prothèse et couronne céramo-métallique.
- Prothèse dentaire amovible et fixe sur implant.
Informations:
Adresse: Avenue Monji Slim, route Sfax, au dessus Café Ben Hassine, 1er étage, Ksour Essef, Mahdia.
Tél: 51 848 453



