Cabinet du médecin dentiste à Moknine

Dr Marwa Sassi Zaag médecin dentiste à Moknine, invite ses patients dans son cabinet de médecine dentaire et implantologie.
Domaines de soins du dentiste:
- Soins dentaires au laser et implantologie.
- Restauration dentaire par composite.
- Extraction des dents de sagesse.
- Détartrage dentaire et soins des caries.
- Traitement des gencives.
- Dentisterie esthétique.
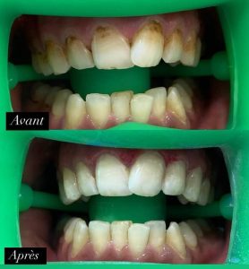
- Blanchiment et éclaircissement des dents.
- Hollywood Smile.
- Facettes dentaire esthétique.
- Prothèse dentaire amovible ou fixe pour remplacer les dents manquantes.
- Couronne dentaire.
- Bridge en céramique et zircone + Bridge sur Implant.
- Gouttière dentaire transparent et traitement orthodontique.
Informations:
Adresse: Rue Dr Med Kassab, Immeuble Bouhawel, en face de l’hôpital régional, 5050, Moknine.
Tél: +216 50 636 660




