Implantologie et dentisterie esthétique à Hammamet

Cabinet de Groupe Dr Hamdi MONTASSAR et Dr Fadhila ZARIAT MONTASSAR, spécialiste en dentisterie esthétique à Hammamet Dental Clinic.
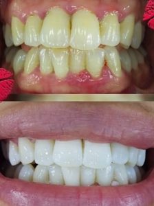
Actes et soins du médecin dentiste:
- Dentisterie esthétique: veneers, blanchiment, stratification antérieure et postérieure.
- Peeling gingival avec waterlase.
- Gingivectomie et élongation coronaire au laser diode.
- Freinectomie.
- Implantologie orale.
- Pose de prothèses dentaires.
- Couronnes et bridges sur implants.
- Endodontie.
- Pédodontie.
- GBT (guided biofilm thérapie) au lieu de détartrage classique.
Informations:
Adresse: 58 Av du Koweit, immeuble la Tour Bleue E3 – B6, Hammamet, Nabeul.
Tél: +216 98 440 515 / +216 98 556 224
E-mail: cabinet.drs.montassar@gmail.com




