Orthodontie esthétique invisible à Médenine

Dr Wadie ZAGHDOUD Orthodontiste à Médenine, diplômé de la faculté de médecine dentaire de Monastir, spécialiste en orthopédie dento-faciale.
الدكتور وديع زغدود إختصاصي في تقويم الأسنان والفكين بمدنين
Qualification professionnelle:
- Pratique d’orthodontie exclusif.
- Diplômé en orthodontie esthétique par aligneur.
- Diplômé en orthodontie de la faculté de médecine dentaire de Monastir.
- Ancien membre de l’association internationale de recherche en médecine dentaire IADR.
- Membre actuel de la société européenne de l’orthodontie par aligneur.
- Auteur de plusieurs articles scientifiques.
Soins de l’orthodontiste à Médenine:
- Orthodontie exclusive.
- Orthodontie adulte et enfant.
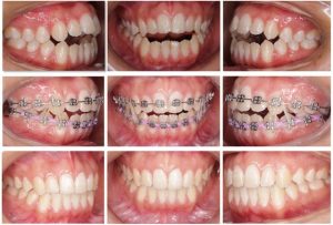
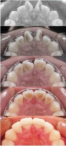
- Orthodontie esthétique invisible par aligneurs.
- Gouttières transparentes, Invisalign.
- Appareil dentaire orthodontique multi-bagues ou multi-attaches.
- Orthodontie préventive et traitement d’interception.
- Orthodontie linguale.
Informations:
Adresse: Av Habib Bourgiba, immeuble Tiba, 1er étage, App 106, Médenine 4100, Tunisie.
Tél: +216 75 649 080 / +216 96 673 174
E-mail: contact@orthodontie-dr-wadie-z.com
Site Web: www.orthodontie-dr-wadie-z.com




