Orthodontiste à Hammam Lif – Dr Sana BOUDALI BEN AYED

Dr Sana BOUDALI BEN AYED Orthodontiste à Hammam Lif, spécialiste en orthodontie de l’enfant et de l’adulte.
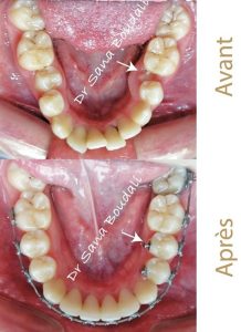
Actes et soins en Orthodontie:
- Orthopédie dento-faciale.
- Appareil dentaire esthétique pour enfants et adulte.
- Orthodontie invisible par aligneurs: gouttières Invisalign.
- Orthodontie préventive et traitement d’interception.
- Orthodontie exclusive et linguale.
- Traitement orthodontique multi-bagues classique.
- Brackets auto-ligaturants, métalliques ou céramiques.
- Radiographie dentaire.
Informations:
Adresse: 38 Av de l’environnement, Centre Médical Avicenne, 3ème étage, Hammam Lif, Ben Arous.
Tél: +216 71 293 629 / +216 52 443 373
E-mail: sana_boudali@yahoo.fr




