Orthodontiste à Le Bardo

Dr Sinda Arfaoui Chekir orthodontiste à Le Bardo, spécialiste en orthodontie et orthopédie dento-faciale.
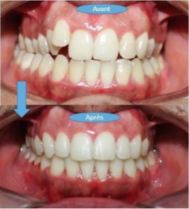
Actes et soins de l’orthodontiste:
- Correction des malformations des maxillaires et des positions dentaires.
- Orthodontie de l’enfant et de l’adulte.
- Orthodontie linguale et esthétique.
- Orthodontie préventive et traitement d’interception.
- Orthodontie invisible par aligneurs.
- Gouttière Invisalign: solution orthodontique pour redresser les dents de manière invisible.
- Hollywood smile et blanchiment des dents.
- Brackets métalliques ou transparents.
- Appareil dentaire amovible: gouttière dentaire.
- Appareil dentaire orthodontique multi-attaches ou multi-bagues.
En Résumé, l’orthodontiste à Bardo intervient pour la correction des irrégularités dentaires, l’alignement des dents et tous types de malpositions dentaires.
Informations:
Adresse: 56 Av Habib Bourguiba, Résidence Rosa Center, 4ème étage, à côté de restaurant Adel, Le Bardo, Tunis.
Tél: +216 71 223 664 / +216 51 145 690



