Médecin dentiste Hammam Sousse

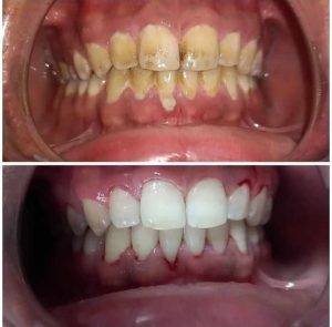
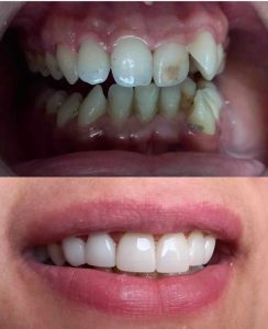
Dr Nada Manaâ médecin dentiste à Hammam Sousse, traite dans son cabinet dentaire les maladies des dents et de la bouche et spécialiste en implant dentaire et
Domaines de soins du dentiste:
- Chirurgie dentaire.
- Implantologie et dentisterie esthétique.
- Hollywood Smile.
- Soins des gencives et traitement de caries.
- Blanchiment et détartrage des dents.
- Restauration à la résine composite des dents.
- Extraction des dents de sagesse.
- Prothèse dentaire fixe et amovible sur implant.
- Bridge et couronne dentaire en céramique ou en zircone.
- Facettes dentaires Emax et Lumineers.
- Traitement orthodontique pour enfants et adultes.
- Aligneurs et gouttières transparentes invisibles et parfaitement esthétique.
Informations:
Adresse: Route de la plage, à côté de City Market, immeuble Jannet, 3 ème étage, App 302, Hammam Sousse.
Tél: 73 325 615 / 53 533 348
E-mail: dr.nadamanaa302@gmail.com





